Blanqueamiento Dental

Confía en el Dr. Camilo Becerra para una atención dental integral y resultados excepcionales.

Home|Blanqueamiento Dental
Blanqueamiento Dental2024-07-06T09:04:23-05:00

Blanqueamiento Dental

El blanqueamiento dental es un procedimiento estético que aclara y elimina manchas en los dientes, devolviendo una sonrisa brillante y atractiva. Es uno de los tratamientos dentales más demandados por su eficacia y rapidez en mejorar la estética dental.

  • Resultados rápidos: Mejora notable en el color de los dientes en pocas sesiones.

  • Aumento de la confianza: Una sonrisa más blanca y brillante puede aumentar la autoestima y la confianza en uno mismo.

  • Seguridad: Realizado bajo supervisión profesional, el blanqueamiento es seguro y efectivo.

Blanqueamiento dental

Proceso de Blanqueamiento

  • Evaluación: Examen dental para asegurar que los dientes y encías están en buen estado para el blanqueamiento.

  • Limpieza: Limpieza profesional para eliminar la placa y cálculo dental.

  • Aplicación del agente blanqueador: En el caso del blanqueamiento en consultorio.

  • Sesiones adicionales: Dependiendo del grado de decoloración, pueden ser necesarias varias sesiones para lograr el tono deseado.

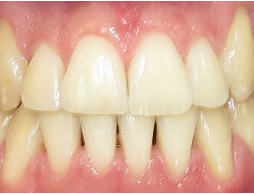
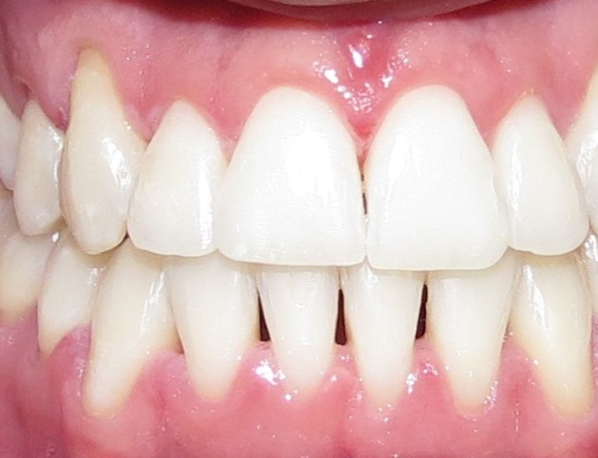
Blanqueamiento Dental DespuésBlanqueamiento Dental Antes

Preguntas más frecuentes de nuestros pacientes

En esta sección, encontrarás respuestas a las preguntas más comunes sobre nuestro servicio de Blanqueamiento Dental. Si tienes más preguntas o necesitas información adicional, no dudes en contactarnos.

¿Cuánto cuesta un tratamiento de blanqueamiento dental?2024-06-13T22:28:35-05:00

El costo del blanqueamiento dental puede variar según el tipo de tratamiento (en la clínica o en casa), los productos utilizados y la ubicación geográfica. Para obtener un presupuesto preciso, es mejor programar una consulta con el Dr. Camilo Becerra, quien proporcionará detalles sobre los costos y las opciones de financiamiento disponibles.

¿Es necesario tener una limpieza dental antes del blanqueamiento?2024-06-13T22:27:17-05:00

Sí, es recomendable realizar una limpieza dental antes del blanqueamiento para eliminar placa y cálculo dental. Esto asegura que el agente blanqueador pueda actuar de manera más efectiva sobre la superficie de los dientes.

¿El blanqueamiento dental funciona para todos los tipos de manchas?2024-06-13T22:26:33-05:00

El blanqueamiento dental es más efectivo en manchas superficiales causadas por alimentos, bebidas y tabaco. Las manchas internas, como las causadas por traumatismos o ciertos medicamentos, pueden no responder tan bien al blanqueamiento y pueden requerir otros tratamientos, como carillas o coronas.

¿Cuánto tiempo toma un tratamiento de blanqueamiento dental?2024-06-13T22:25:54-05:00

Los tratamientos en la clínica dental suelen durar alrededor de una hora. Los tratamientos en casa, con kits proporcionados por el dentista, pueden llevar varias semanas, aplicándose el agente blanqueador durante un tiempo específico cada día. El dr Camilo Becerra utiliza normalmente un protocolo de manejo de dos sesiones de una hora en el consultorio, con intervalo de 48 horas entre sesión y sesión y posteriormente utilización de guardas de blanqueamiento casero por aproximadamente 10 días.

¿El blanqueamiento dental puede causar sensibilidad?2024-06-13T22:24:53-05:00

Algunas personas pueden experimentar sensibilidad dental temporal durante o después del tratamiento de blanqueamiento. Esta sensibilidad suele ser leve y desaparece en pocos días. El Dr. Camilo Becerra puede recomendar productos desensibilizantes para minimizar cualquier molestia.

¿Cuánto tiempo dura el efecto del blanqueamiento dental?2024-06-13T22:24:20-05:00

La duración del blanqueamiento varía según los hábitos del paciente, como el consumo de alimentos y bebidas cromógenas que pueden manchar los dientes (café, té, vino tinto, etc.), y la higiene bucal. En promedio, los resultados pueden durar de 6 meses a 2 años. Mantener una buena higiene bucal y realizar blanqueamientos de retoque según sea necesario puede prolongar los efectos.

¿Es seguro el blanqueamiento dental?2024-06-13T22:23:39-05:00

Sí, el blanqueamiento dental es seguro cuando es realizado o supervisado por un profesional dental. El Dr. Camilo Becerra utiliza productos y técnicas aprobadas para garantizar la seguridad y efectividad del tratamiento, minimizando cualquier riesgo de daño a los dientes y encías.

¿Qué es el blanqueamiento dental?2024-06-13T22:22:45-05:00

El blanqueamiento dental es un procedimiento cosmético que utiliza agentes blanqueadores para eliminar manchas y decoloraciones en los dientes, devolviéndoles un color más claro y brillante. Puede realizarse en la clínica dental o mediante kits de blanqueamiento en casa bajo la supervisión de un dentista.

Déjanos un mensaje

¡Nos encantaría saber de ti! Si tienes alguna pregunta, deseas agendar una cita o necesitas más información sobre nuestros servicios, por favor completa el formulario a continuación. El Dr. Camilo Becerra y su equipo están aquí para ayudarte a lograr la sonrisa de tus sueños.

    Acepto términos y condiciones de nuestra política de privacidad.